Smile Gallery - Torrington, CT

The Proof Is In Our Patients

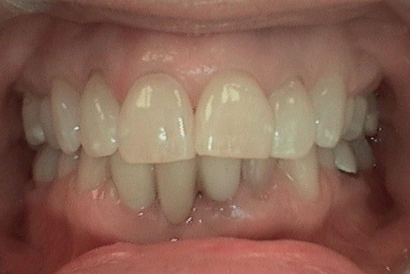
Before And After Photos

Before After
Before After
Before After

Introduce Your Family to Ours

A lifetime of good dental health starts here.

I understand the information disclosed in this form may be subject to re-disclosure and may no longer be protected by HIPAA privacy regulations and the HITECH Act.